Trusted by patients and dentists for award-winning dentistry and training. The Freshdental team is at the forefront of dental education, having trained more than 4,000 dentists in composite bonding. Your smile transformation is in the best possible hands with us.
Specialising in minimally invasive dentistry, our award-winning practice provides people from all over the UK with the best in cosmetic and general dental treatments at our state-of-the-art clinic.
If you want to transform your smile but aren’t sure what treatment you need, we’ll take care of you and can guide you in the direction of your dream smile.
Led by award winning Principal Dentist Dr Monik Vasant, Freshdental is one of the most sought-after providers of general and cosmetic dentistry in London.







You only get two full sets of teeth over your lifetime, so it’s important your smile is looked after by the best dentists in the industry.
The Freshdental team are not only world-class dental practitioners; we provide industry-leading education for other practitioners across the UK, and we’ve trained more than 4,000 dentists in minimally-invasive aesthetic dentistry and composite bonding.
Dr Vasant is a highly experienced, award-winning clinician with a special interest in minimally invasive aesthetic dentistry.
After qualifying from the University of Leeds in 2003, he completed a postgraduate Master of Science degree in Aesthetic & Restorative dentistry at the University of Manchester, and has trained under some of the world’s leading clinicians and academics in aesthetic dentistry.
Dr Vasant is also Invisalign’s UK ambassador, and one of their main global trainers and clinical speakers.
Award-winning team of aesthetic dentistry practitioners and educators
State-of-the-art dental clinic and facilities in the heart of central London
We use only the latest technology and advanced comfortable techniques
3D dental scanning for highly accurate teeth impressions without moulds
Innovative microscopic dentistry techniques to increase precision
Minimally invasive treatments to reduce drilling and damage to teeth
Magnification technology allows us to see minute details of teeth and gums
Facially-driven treatment plan to help you achieve your dream smile

I feel like a new woman who can smile again!
AMAZING DENTIST! I feel like a new woman who can smile again!
I was recommended to visit Dr Monik Vassant by my own dentist, as he wanted me to see an expert in the field of Invisalign and veneers. 18 months later and I have never felt more confident to smile and pose in photo's with my teeth on full display. The whole process was painless and easy, after @ 7/8 months of Invisalign ( timing will be different for everyone ) Dr Monik set to work on 10 beautiful new composite bondings. He is a truly and expert, or I like to call him a "magician" when it comes to teeth. I had terrible staining on my original teeth and very old veneers which were removed and replaced with a fabulous set of new composites, colour matched perfectly, (and not obvious).
I couldn't be happier, and the aftercare is just as good, I thoroughly recommend !
Thousands of our patients are now smiling with confidence thanks to our exceptional team of advanced, cosmetic, and general dentists and educators in London.
This lady was really nervous about dental treatment. She didn’t like her crowded teeth or discolouration. She also had some areas of tooth wear from acid erosion. We straightened the teeth first discretely using Invisalign® and then whitened them. Finally, after a digital design, we placed minimal preparation porcelain veneers on the front ten teeth.
This young lady hated her crowded teeth. We first straightened them using Invisalign® and then carried out some professional tooth whitening.
This man hated his crowded and yellow teeth. We straightened them using Invisalign® and then whitened them.
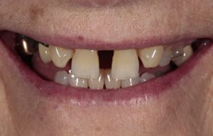
This lady hated the colour of her teeth and the gaps. She had broken her UR1 tooth after falling and it had been fixed, but the repair looked obvious. She was after a big change in the theme of her smile with more of a stand out appearance. We discussed the option of porcelain veneers or composite veneers to the visible upper teeth. She decided on ten composite veneers and whitening all the teeth first to reduce the need to do any other work on the lower teeth.
This young dentist came to see us as he wanted to feel comfortable about his own smile when talking to his patients. He didn’t like the gaps or the colour and he had an old porcelain veneer on a front tooth that was placed after an accident. The tooth under this had also gone grey. We decided to first whiten his teeth and whiten the grey tooth from the inside. Following this, we carried out composite bonding veneers to six teeth (including replacing the old veneer).
This wonderful lady had been embarrassed about her smile her whole life. One day, after a family event, she decided to come and speak to us about changing her smile. This was a really challenging case as she was born without lateral incisors and she didn’t want orthodontic treatment to first align the teeth. We decided to first whiten the teeth then camouflage the teeth gaps with composite bonding to eight teeth. Finally, we replaced an old gold crown with a tooth coloured ceramic one.
This gentleman was going to University and wished to improve the appearance of his teeth. His main problem were the gaps between the teeth and the yellow discolouration of the canine teeth. We discussed straightening the teeth first but he wasn’t keen on this. Hence we carried out whitening treatment initially to even out the colour and then carried out partial composite bonding to his front six teeth to close the spaces and improve shapes of the teeth.
This gentleman was very unhappy with his worn, gappy teeth and he was due to be getting married. His teeth were first whitened and then direct composite bonding was carried out to his upper front six teeth.
This young man was referred to us by his sister and mum who had received treatment by us. He wished to improve the appearance of the teeth. His main problem were the gaps between the teeth and the yellow discolouration. We whitened the teeth first to even out the colour and then carried out composite bonding to four teeth to close the spaces and improve the shapes.
Successful dental treatment requires clear, accurate impressions of your teeth, and digital dentistry is an innovative technique we use to create these precise impressions for cosmetic braces, veneers, crowns, bridges, and even dental implants, instead of using the traditional (and very uncomfortable) putty and dental trays.
This technology allows us to capture 3D digital images of your mouth quickly and comfortably using a sophisticated 3D scanning camera, and it also reduces the need for additional preparation appointments, which can cut down your treatment time.
Our friendly, professional team is here to provide you with the best cosmetic and general dentistry in London, without compromising on our extremely high standard of patient care. We’ll support you on every step of your dental journey.
We use the most advanced techniques and innovative industry technology to design your new smile, and our award-winning practice leads the way in minimally invasive dentistry.
Our principal dentist and founder Dr Monik Vasant is a multiple award-winning dentist, with patients travelling from all over England and Scotland to be treated by him and his team.
Dr Vasant has curated a team of outstanding dental professionals who are all qualified, highly-skilled clinicians in their field and have transformed thousands of smiles in London.
We provide full-service dentistry for kids and teenagers as well as adults, so you can rest assured we’ve got the oral health of your whole family covered at Freshdental.
We take pride in getting to know our patients and their families, and offer a family and friends discount to make it easier for you, your partner, and your children to receive dental treatment at the same practice.
Yes, we're a fully private dental practice, offering our patients the best cosmetic and general dental treatments in London. We do offer a family and friends discount for people thinking about visiting the practice, who know or are related to one of our existing patients.
We do take dental emergencies at Freshdental, but unfortunately not out-of-hours. Please call the practice on 0207 837 5523 to arrange an appointment.
Yes, absolutely! Contact us today to talk about a free consultation, or with any questions you have.
Yes. We have patients that come from all over the UK; from Cornwall to Newcastle, and Manchester to Bournemouth, as well as patients that come to us from Scotland! We understand that you need to be certain before committing to travelling any distance for dental treatment, so we offer free initial remote consultations for patients thinking about seeing us for dental treatment in London.
We sure do. After a quick chat with our receptionist to discuss your needs, you have the choice of a free virtual consultation with one of our clinicians, or a paid consultation in person at the clinic. If you opt for the in-clinic consultation, this will cost £99 (£150 with Dr Vasant), which includes a 3D scan, clinical photos, 2 small X-rays, and a customised treatment plan.
Yes. The highest quality dental care can be expensive and we want to be able to help as many people as possible achieve the smile of their dreams, so we offer interest free dental finance, our own practice dental plan, as well as a family and friends discount.
46 Craven Road
Bayswater
London
W2 3QA