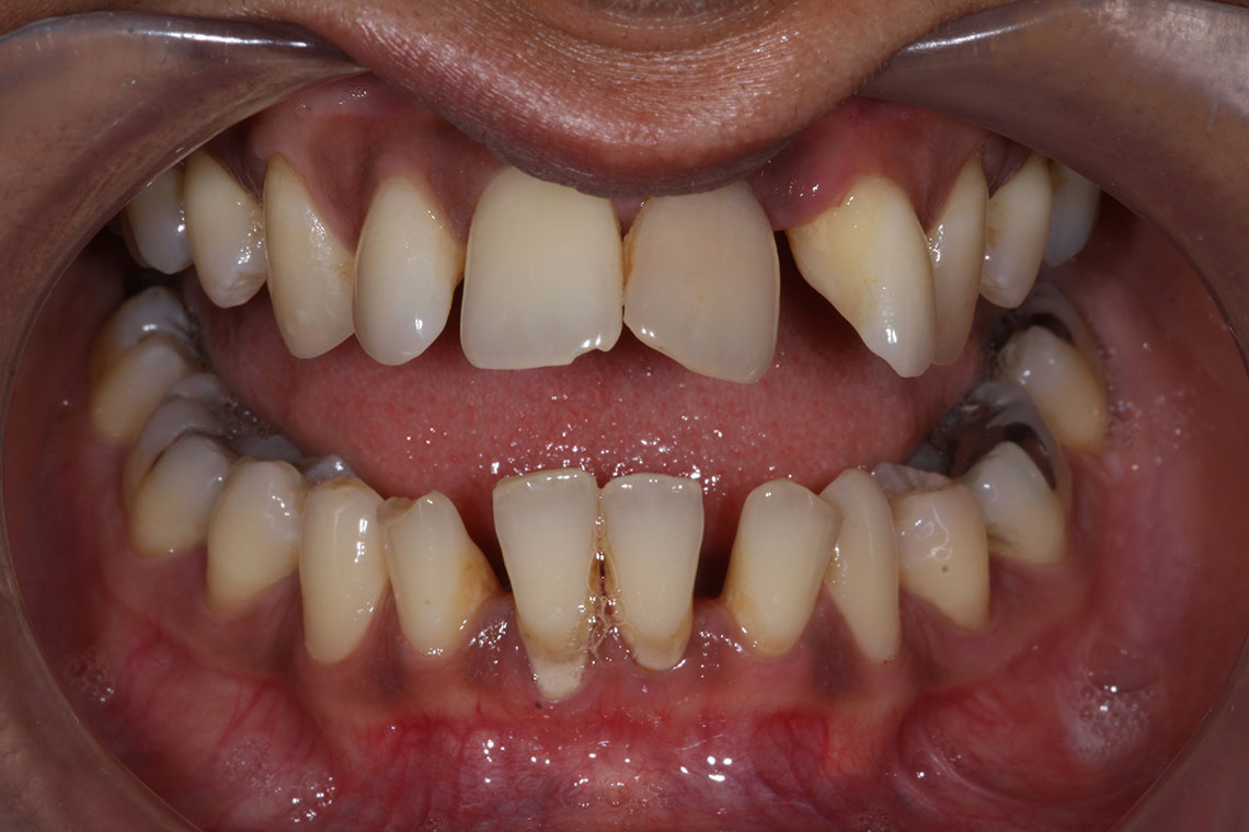
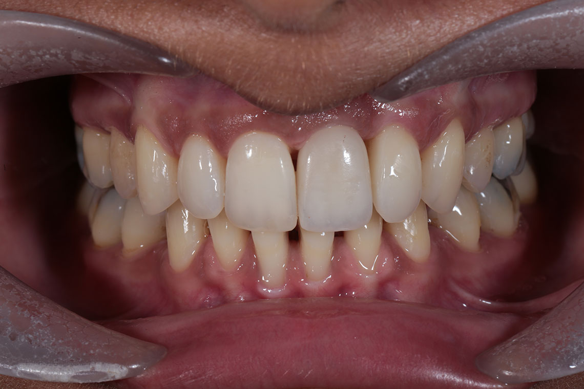
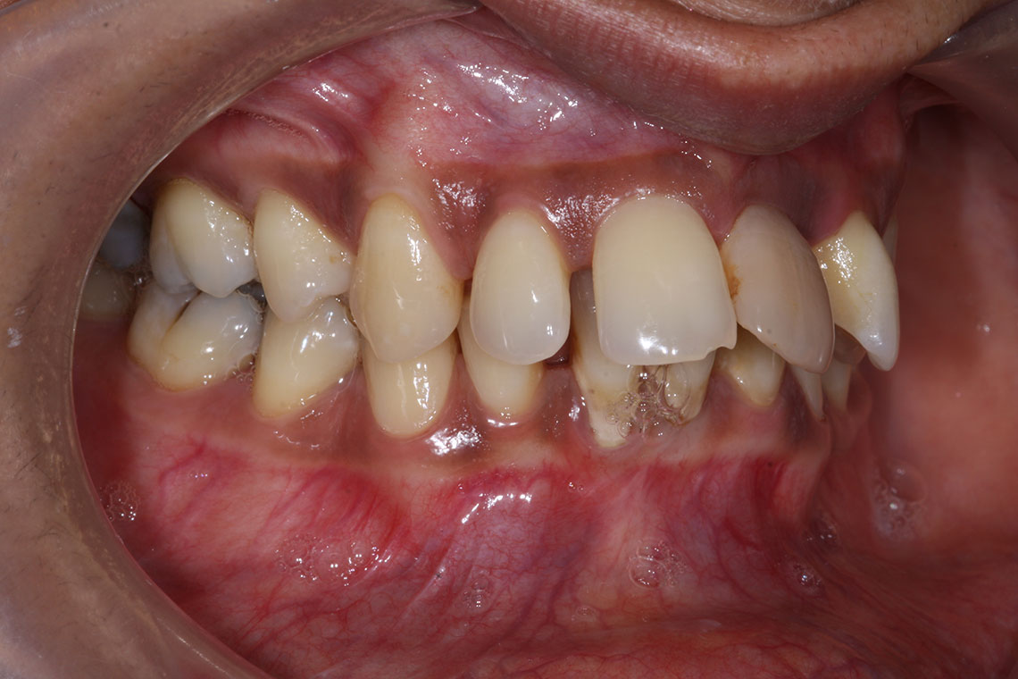
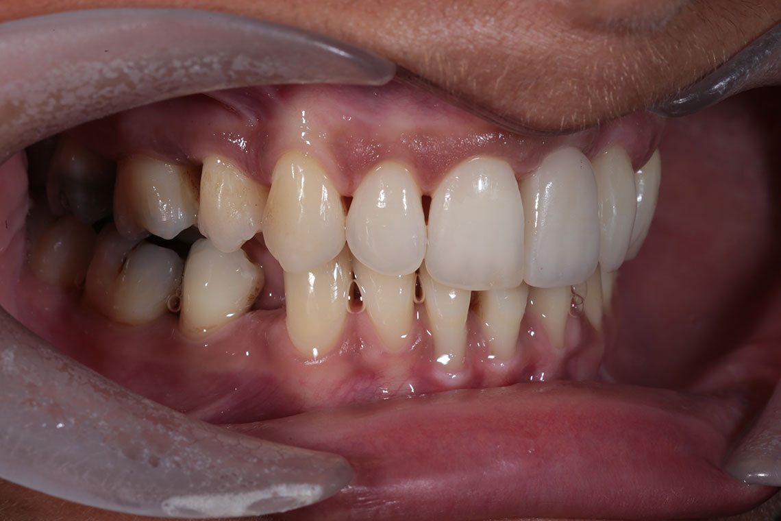
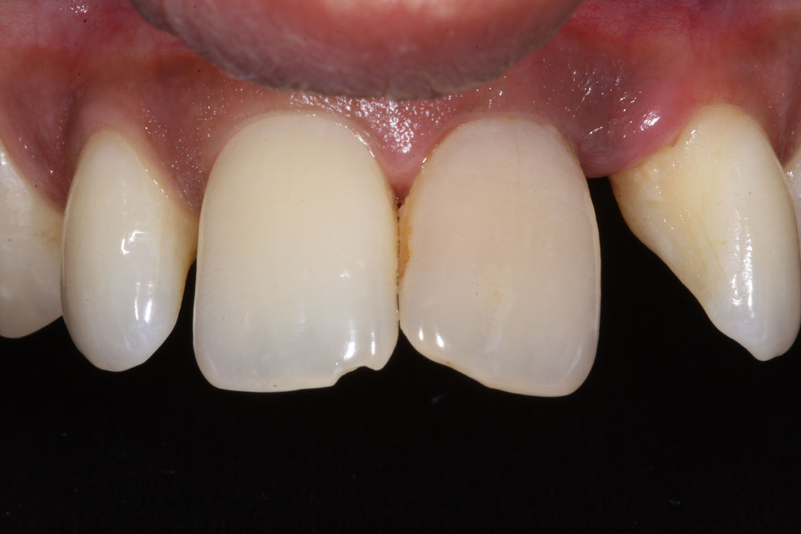
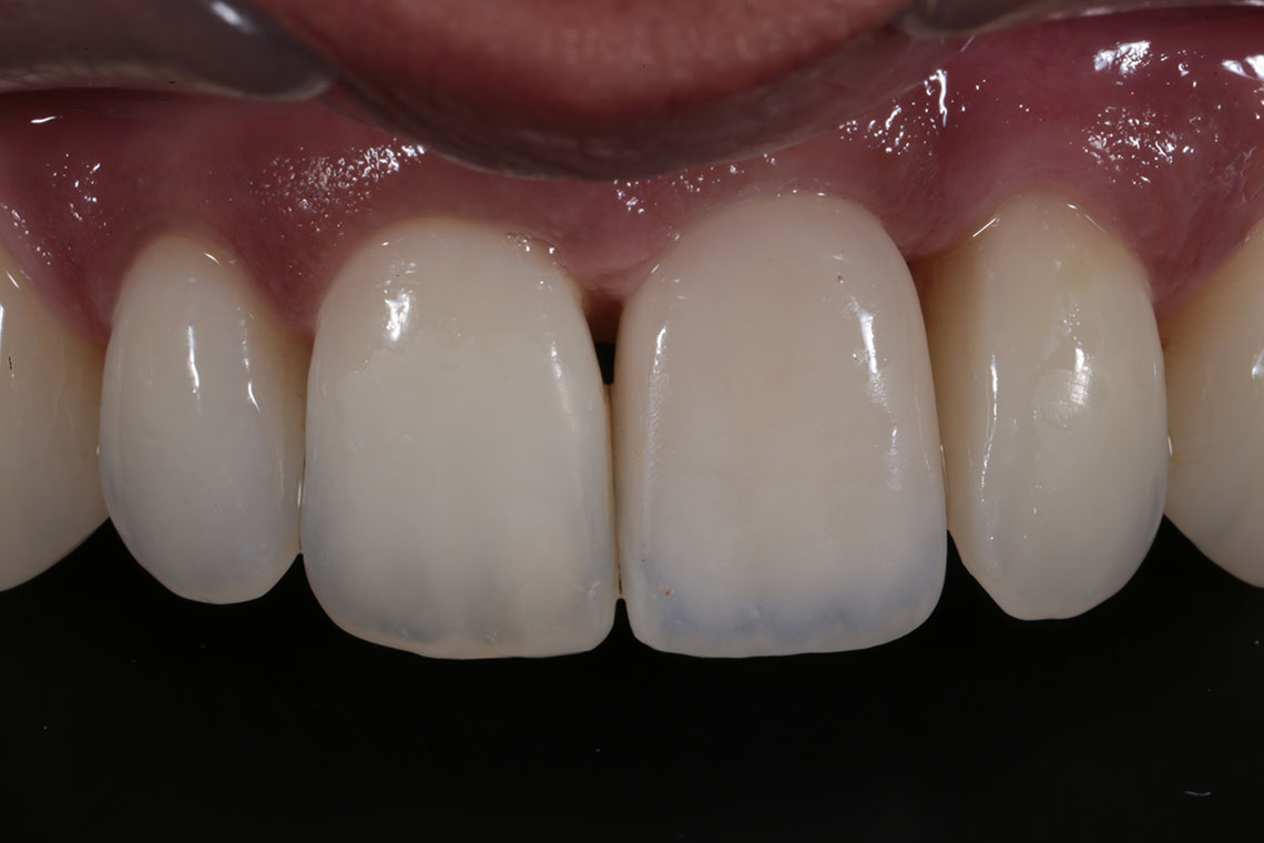
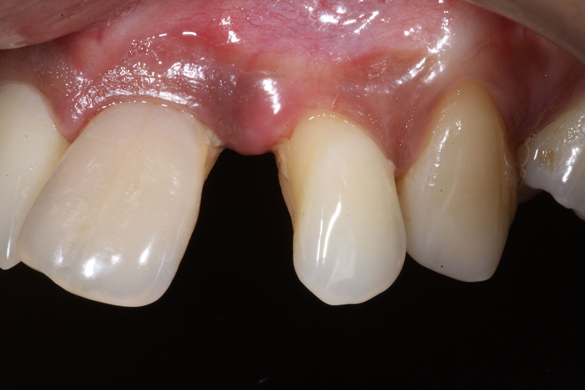
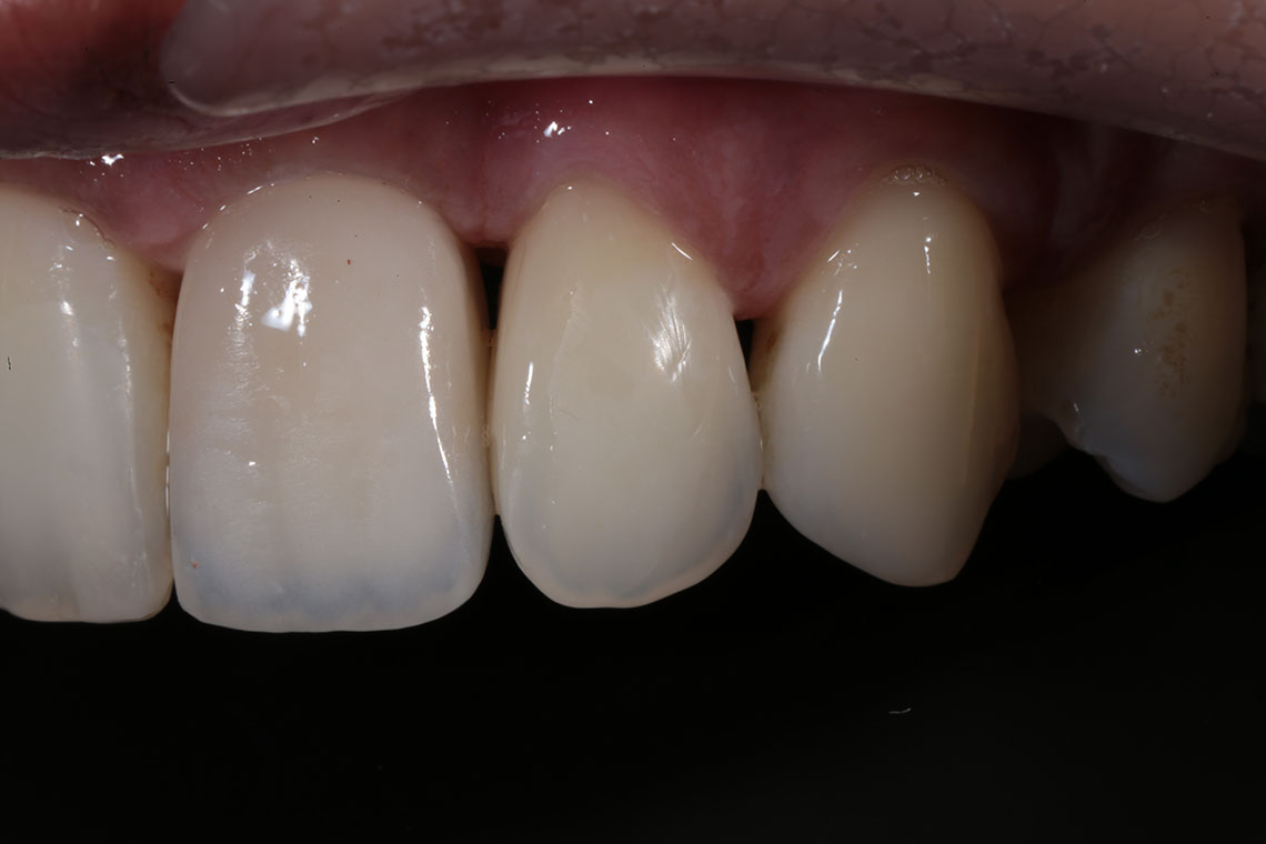
This lovely lady attended with very low confidence due to her teeth and smile. Gum disease and trauma had led to the teeth drifting. One of her front teeth was so loose that it needed to be replaced. We started by providing intensive treatment with our dental hygienist to treat the gum disease. Following this Invisalign® braces were used to align the teeth and the teeth were whitened. A dental implant was then placed to replace the loose front tooth and composite bonding was performed to the adjacent front tooth. The change in the patient’s confidence as a result of this work was breathtaking.














the staff have been nothing but warm, friendly and professional.
I have been extremely pleased with the treatments I have had here - Invisalign, composite bonding and whitening. My teeth look a million times better and the staff have been nothing but warm, friendly and professional.
46 Craven Road
Bayswater
London
W2 3QA