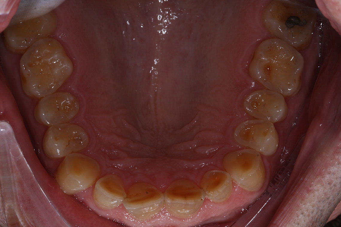
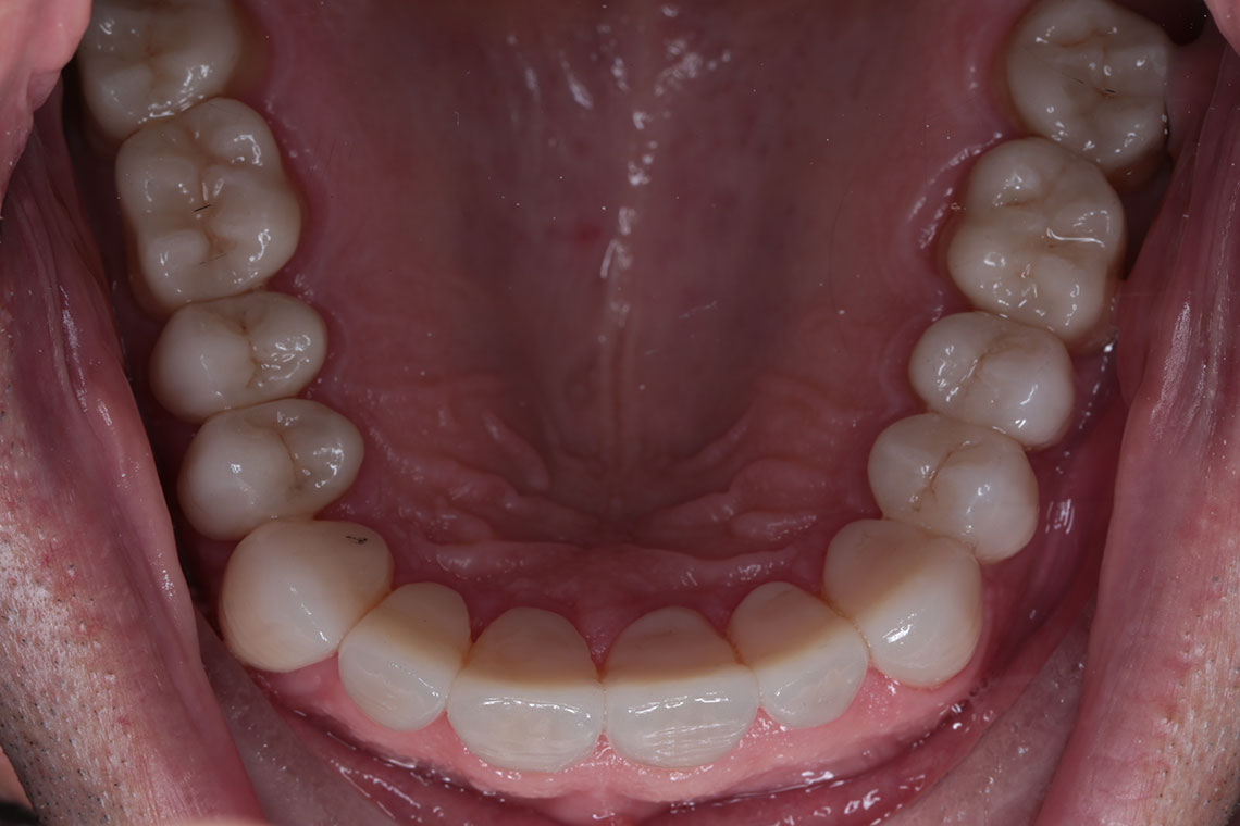
his lovely gentleman had severe tooth wear from grinding and wanted to transform his smile and bite. We first designed all the new shapes and bite positions using a digital smile design. We followed this up with a trial smile phase to make sure he could get used to the new bite and shapes. Finally we rebuilt the whole mouth using a combination of ceramic no preparation onlays and veneerlays for the back teeth. We used composite bonding to rebuild the lower front teeth and the backs of the upper front teeth. Finally we placed porcelain veneers to the upper six teeth to rebuild the front surfaces of them. We finished this case by providing a Michigan nighttime splint to protect the work.






the staff have been nothing but warm, friendly and professional.
I have been extremely pleased with the treatments I have had here - Invisalign, composite bonding and whitening. My teeth look a million times better and the staff have been nothing but warm, friendly and professional.
46 Craven Road
Bayswater
London
W2 3QA